Living with ongoing back pain can significantly diminish your quality of life, especially if that pain is due to a complicated condition like spondylolisthesis. If you have been diagnosed or believe this is your issue, you are likely asking the question, "What is spondylolisthesis, and how can chiropractic care help?" In this blog, let us define spondylolisthesis and discuss chiropractic treatment options that could help you find relief and improve your range of motion and mobility.
Definition & Overview
Spondylolisthesis is a spinal condition in which one of the vertebrae has slipped forward over the one below, which can cause nerve and spinal cord compression, resulting in chronic pain and instability, especially in the lower back (lumbar spine).
Types of Spondylolisthesis
- Isthmic (most commonly referred to as a stress fracture)
- Degenerative (degenerative arthritis related to aging)
- Congenital (present at birth)
- Traumatic (potentially due to some accident)
- Pathologic (due to disease)
- Post-surgical (after spinal surgery)
Causes & Risk Factors
- Athletics with characteristics of chronic repetitive stress to the spine
- Degeneration related to aging
- Genetics, Vehicle, Fall, or a Sports-related Trauma
- Poor posture or biomechanical issues
Mechanism of Injury
- Chronic pain in the lower back
- Muscle tightness or spasms
- Radiating pain into your legs or buttocks
- Difficulty standing and/or walking
- Numbness/tingling
Physical & Clinical Examination
Chiropractors and physicians observe your posture for evaluation, palpate to assess tenderness, and evaluate your range of motion to assess your spine for stability.
Diagnostic Imaging
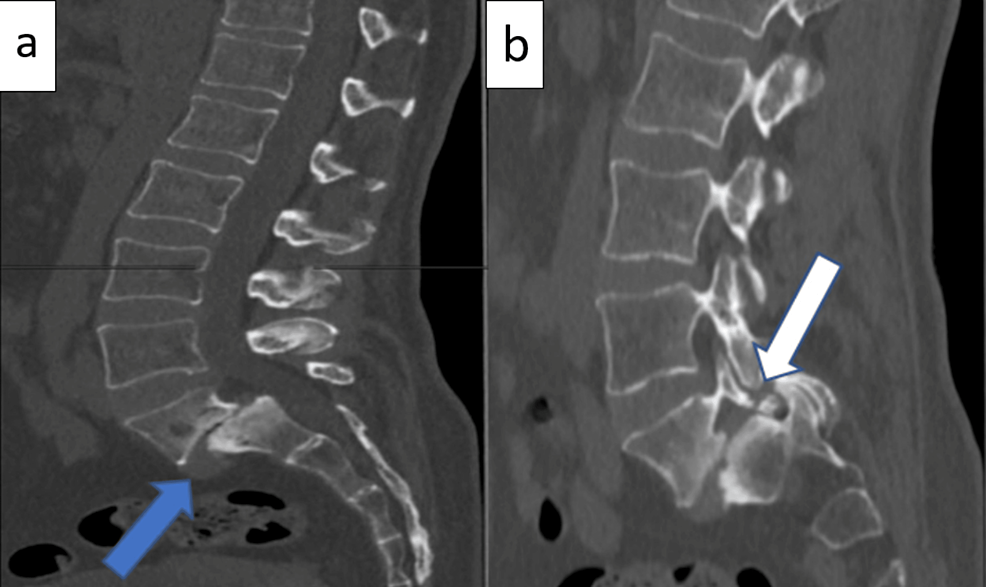
X-rays, MRIs, or CT scans provide a very definitive way to assess the degree of slippage of your vertebral segments. Your radiologist will assign a grading from I (minimal) to V (severe).
Physical Therapy
Custom exercise programs can help improve core strength, spine stability, and flexibility.
Surgical Procedures
In extreme circumstances (grades IV - V), spinal fusion surgery and/or decompression surgery may be warranted.
Chiropractic Care for Spondylolisthesis
Chiropractic principles are founded on health through a well-aligned spine and a properly functioning nervous system. The objective is to eradicate imbalances and movement dysfunction that create pain and contribute to discomfort.
Benefits of Chiropractic Adjustments
- Decreased inflammation
- Increased spinal range of motion
- Reduced pressure on the nerves
- Increased muscle support around the spine

